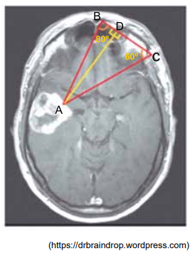
A imagem, obtida por tomografia computadorizada, revela a presença de um tumor cerebral no ponto A. O método de triangulação sobre essa imagem indica que as medidas dos ângulos e
são, respectivamente, 80° e 60°.

Adotando-se tg 60º = m, tg 80º = n e utilizando-se a medida de igual a ℓ, a distância do ponto A ao segmento de reta
, indicada na figura por
, será igual a